Раковая клетка сама ломает свою ДНК, и это можно использовать против нее
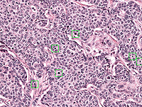
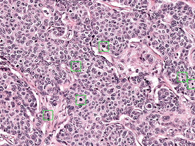
Исследователи из Еврейского университета Иерусалима показали, что гиперактивность генов, обеспечивающая быстрый рост опухоли, приводит к повреждениям и разрывам в структуре ДНК раковой клетки.
Агрессивное развитие онкологических заболеваний напрямую связано с работой так называемых супер-энхансеров. Эти участки ДНК выступают в роли переключателей, заставляя важнейшие гены работать на пределе возможностей, ускоряя деление клеток.
Новое исследование, опубликованное в журнале Science Advances показывает, что за высокую скорость роста клеткам опухоли приходится дорого платить. Ученые установили, что физическое напряжение, возникающее при экстремальной активности генов, вызывает двуцепочечные разрывы ДНК именно в тех местах, где нагрузка максимальна.
Используя метод точного картирования генома, биологи зафиксировали, что повреждения не случайны: они концентрируются в зонах влияния супер-энхансеров. Клетка распознает эти поломки и запускает механизмы восстановления, но постоянный цикл разрушения и репарации неизбежно ведет к накоплению ошибок.
Такие "горячие точки" становятся источником новых мутаций, которые позволяют опухоли эволюционировать, адаптироваться к терапии и становиться еще более агрессивной. Как показали ученые, механизм, дающий раку силу для роста, одновременно делает его генетически нестабильным и потенциально уязвимым.
Профессор Рами Акилан, руководивший исследованием, говорит: "Раковые клетки полагаются на супер-энхансеры, чтобы поддерживать высокую скорость работы генов роста. Мы обнаружили, что эта же активность создает реальную нагрузку на ДНК, создавая точки разрывов, которые клетке приходится восстанавливать снова и снова. Этот цикл помогает опухолям выжить в краткосрочной перспективе, и он же увеличивает риск мутаций, которые влияют на эволюцию рака".
Понимание этого процесса открывает новые перспективы для медицины. Поскольку раковые клетки критически зависят от этих зон высокого напряжения, терапия, направленная на нарушение механизмов восстановления ДНК или подавление активности супер-энхансеров, может стать эффективным способом борьбы с наиболее устойчивыми формами заболевания.
Токсин холерных бактерий подавляет рост колоректального рака
Персонализированная вакцина на основе ИИ "запоминает" рак, чтобы предотвратить рецидив


