Израильские ученые предложили новый подход к лечению рака мозга
Ученые из Института Вейцмана обнаружили бактериальные сообщества в опухолях мозга. Бактерии влияют на устойчивость к терапии и их подавление может улучшить прогноз заболевания.
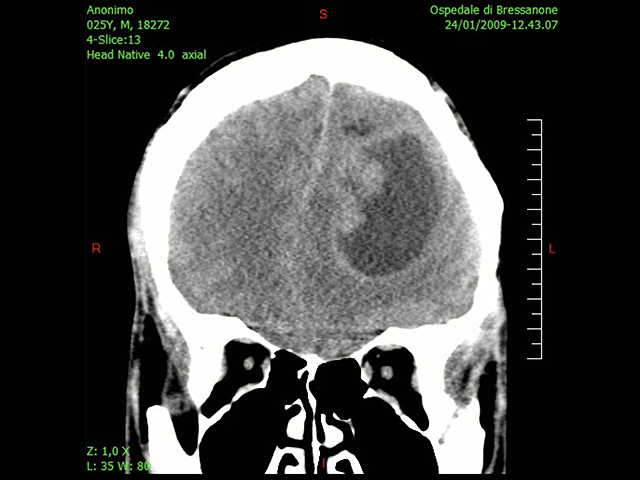
Менее 5% пациентов с диагнозом глиобластома живут 5 лет и дольше, поэтому борьба с этим онкологическим заболеванием является одним из важных приоритетов ученых. Мозг долгое время считался стерильной средой, защищенной гематоэнцефалическим барьером от проникновения патогенов. Но новое исследование показало, что различные бактерии успешно преодолевают эту защиту и обитают внутри опухолей мозга. Работа опубликована в журнале Nature Cancer.
Ученые проанализировали 322 образца глиобластом и метастазов в мозге. Исследователи обнаружили бактерии как внутри опухолей, так и среди окружающих опухоль иммунных клеток. Метастазы оказались даже богаче бактериями, чем первичные опухоли – они содержали большее количество и разнообразие микроорганизмов.
Особенно важным открытием стало установление связи между бактериальным составом опухолей и выживаемостью пациентов. У больных, проживших менее года, обнаружились более богатые бактериальные сообщества, чем у тех, кто прожил более двух лет. Эксперименты показали, что выделения некоторых бактерий, например рода Bacillus, делают раковые клетки устойчивыми к химиотерапии темозоломидом.
"Глиобластома – это очень агрессивная злокачественная опухоль головного мозга, и даже после таких методов лечения, как хирургическое вмешательство, лучевая терапия, химиотерапия и биологическая терапия, продолжительность жизни остается очень ограниченной, – говорит соавтор работы профессор Шломит Юст-Кац, – Обнаружение бактерий в опухолях открывает путь для будущих исследований роли этих бактерий в развитии заболевания и дает надежду на поиск новых методов помощи пациентам".
Результаты работы открывают новые перспективы для разработки направленных методов лечения рака мозга с учетом найденного бактериального фактора.


