Препарат от рака груди повышает эффективность лечения лейкемии. Новое исследование
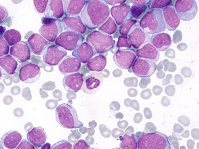
Ученые из Орегонского университета здоровья и науки выявили новую перспективную комбинацию препаратов, которая может помочь пациентам с острым миелоидным лейкозом (ОМЛ) преодолеть устойчивость к одному из наиболее распространенных методов лечения. В исследовании, опубликованном в журнале Cell Reports Medicine, исследователи проанализировали более 300 образцов тканей пациентов с ОМЛ и обнаружили, что сочетание венетоклакса – стандартного препарата для лечения ОМЛ – с палбоциклибом, ингибитором клеточного цикла, который уже применяется при раке молочной железы, обеспечивает более сильный и продолжительный противолейкозный эффект по сравнению с применением только венетоклакса. Эти результаты были подтверждены как на образцах тканей человека, так и на мышиных моделях, содержащих человеческие лейкозные клетки.
Исследование показало, что клетки острого миелоидного лейкоза, обработанные только венетоклаксом, пытаются адаптироваться, увеличивая производство белка, что помогает им выживать. Добавление палбоциклиба, препарата, одобренного для лечения рака молочной железы, блокирует эту адаптацию, вмешиваясь в клеточный механизм синтеза белка. По словам авторов исследования, у образцов пациентов, хорошо ответивших на эту комбинацию, наблюдалось заметное снижение активности генов, участвующих в синтезе белка.
Полногеномный CRISPR-скрининг показал, что хотя венетоклакс становится более эффективным при утрате генов, связанных с выработкой белка, комбинированная терапия работает независимо от этой уязвимости. Это указывает на то, что два препарата действуют совместно, блокируя несколько путей, которые клетки используют для выживания. Ученые также проверили комбинацию на мышах, которым имплантировали человеческие клетки острого миелоидного лейкоза с мутациями, вызывающими устойчивость к венетоклаксу.


