Здоровье
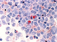
В Европе от донора спермы с генной мутацией, приводящей к раку, были зачаты 200 детей
Донор спермы с генной мутацией, радикально повышающей риск развития рака, стал отцом 200 детей по всей Европе. Это выяснилось в ходе масштабного расследования, проведенного крупными вещателями, включая CBS News, BBC News.
adv_09 rimma_dw_d
adv_10 rimma_dw_m
adv_11 ca_instrip_direct
adv_12 ca_instrip_direct
Здоровье ::
18 Января 2026 г.

