Скончался самый молодой человек с диагнозом деменция
В конце прошлого года в Великобритании умер молодой мужчина, которого называли самым юным пациентом с деменцией в стране – ему было всего 24 года. Житель Норфолка Андре Ярхам узнал о своем диагнозе в 22-летнем возрасте. Ярхам завещал свой мозг ученым для научных исследований, сообщает BBC.
Мать мужчины Саманта Фэрбэрн рассказала, что решение о пожертвовании было принято в надежде помочь лучше понять это, по ее словам, "одно из самых беспощадных" заболеваний. По данным Dementia UK, лобно-височная деменция встречается редко и выявляется примерно у одного из двадцати людей с диагнозом деменции.
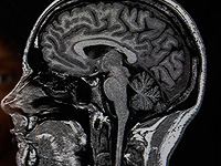
Первые тревожные изменения в поведении сына Фэрбэрн заметила вскоре после своей свадьбы с отчимом Андре, Аластером, в ноябре 2022 года. Молодой человек стал более рассеянным и иногда вел себя неадекватно. Обследование в университетской больнице Норфолка и Норвича выявило необычное уменьшение объема мозга, а окончательный диагноз был поставлен в больнице Адденбрука в Кембридже.
Фэрбэрн призналась, что пережила сильные и противоречивые чувства – от ярости и глубокой скорби до постоянной тоски по сыну. За месяц до смерти Андре утратил способность говорить и мог издавать лишь отдельные звуки. При этом, по словам матери, иногда было слышно, как он смеется.
До определенного момента он продолжал выходить на прогулки, но со временем ему потребовался постоянный уход, включая кормление, которое семья обеспечивала самостоятельно, пока это не стало слишком тяжело физически.
В Dementia UK также отмечают, что лобно-височная деменция нередко имеет наследственный характер, поэтому у заболевших могут быть родственники с тем же диагнозом. Генетическое тестирование позволяет определить, находится ли человек в группе риска.


