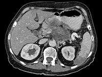
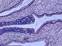
Здоровье
adv_09 rimma_dw_d
adv_10 rimma_dw_m
adv_11 ca_instrip_direct
adv_12 ca_instrip_direct
Здоровье ::
7 Февраля 2041 г.

