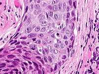
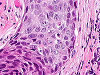
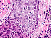
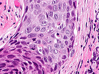
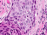
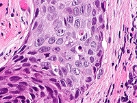
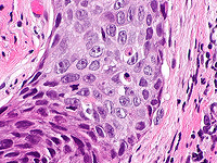
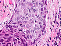
Здоровье
                
                
            adv_09 rimma_dw_d
            
        
                
            adv_10 rimma_dw_m
            
        
                                
                
            adv_11 ca_instrip_direct
            
        
                
            adv_12 ca_instrip_direct
            
        
                
                     Здоровье :: 
                     15 Августа 2025 г. 
                
            
