Здоровье
adv_09 rimma_dw_d
adv_10 rimma_dw_m
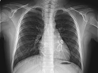
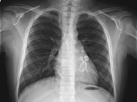
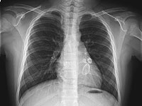
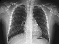
Россия на третьем месте в мире по числу больных COVID-19: 2212 умерших, более 242 тысяч заболевших
Российский оперативный штаб по борьбе с распространением коронавирусной инфекции сообщает 13 мая, что за последние сутки в РФ выявлены 10028 человек с подтвержденным COVID-19, из них 4703 – в Москве. Умерли 96 пациентов.
adv_11 ca_instrip_direct
Битуах Леуми – инвалидность: пособия, надбавки, льготы, выплаты "битуах сиюди"
Адвокат Имбар Голан-Фартуш является действующим участником медицинских комиссий по назначению инвалидности, и много лет работала начальником отдела в "Битуах Леуми". В связи с этим имеет огромный опыт работы в решении проблем с получением пособий, льгот и надбавок в следующих случаях.
Подозрение на заражение коронавирусом воспитателя одного из детских садов в Ашкелоне
Вечером стало известно, что воспитатель одного из детских садов в Ашкелоне обратилась за медицинской помощью с симптомами, характерными для коронавирусной болезни. Женщина получила направление на проведение теста на коронавируса.
Власти Уханя хотят проверить на коронавирус 11 миллионов жителей
После того, как в минувшие выходные в китайском Ухане было зафиксировано шесть новых случаев заражения COVID-19, местные власти выдвинули идею протестировать на наличие коронавирусного заболевания всех жителей города (11 миллионов человек).
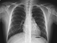
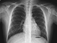
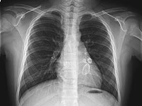
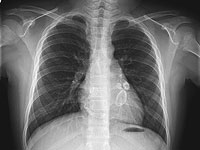
Россия на третьем месте в мире по числу больных COVID-19: 2116 умерших, более 232 тысяч заболевших
Российский оперативный штаб по борьбе с распространением коронавирусной инфекции сообщает 12 мая, что за последние сутки в РФ выявлены 10899 человек с подтвержденным COVID-19, из них 5392 – в Москве. Умерли 107 пациентов.
adv_12 ca_instrip_direct
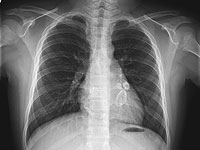
Financial Times: Смертность в России от COVID-19 может быть на 70% выше, чем официальные цифры
Число погибших от коронавируса в России может быть на 70% выше, чем показывают официальные государственные данные, на фоне того, как Кремль пытается обуздать распространение COVID-19, несмотря на 7-недельную изоляцию.
Здоровье ::
12 Мая 2020 г.

